Klatskin tümörü, safra yollarının karaciğere yakın bölümünde gelişen nadir bir kanser türüdür. Genellikle safra akışını engelleyerek sarılık, kaşıntı ve kilo kaybı gibi belirtilere yol açar. Erken tanı ve uygun tedavi, hastalığın seyrini belirgin şekilde etkiler.
Klatskin tümöründe tanı yöntemleri arasında manyetik rezonans kolanjiyopankreatografi (MRCP) ve bilgisayarlı tomografi öne çıkar. Bu görüntüleme teknikleri, tümörün yerleşimini ve yayılımını netleştirerek cerrahi planlamayı kolaylaştırır.
Tedavi seçenekleri tümörün evresine göre değişir. Cerrahi rezeksiyon, uygulanabildiği durumlarda en etkili yöntemdir. Ameliyat öncesinde veya sonrasında kemoterapi ve radyoterapi ile ek tedaviler uygulanabilir.
Hastalığın prognozu, tümörün boyutu, yayılım durumu ve hastanın genel sağlık koşulları ile yakından ilişkilidir. Erken evrede saptanan olgularda yaşam süresi ve kalitesi daha yüksek olur.
| Diğer Adı | Hilar Kolanjiyokarsinom, Perihilar Kolanjiyokarsinom |
| Görülme Sıklığı | Nadir |
| Risk Faktörleri | Primer sklerozan kolanjit, kronik safra yolu iltihabı, karaciğer parazitleri, yaş |
| Belirtiler | Sarılık, kaşıntı, koyu renkli idrar, açık renkli dışkı, kilo kaybı, karın ağrısı |
| Tanı Yöntemleri | Kan testleri (bilirubin, CA 19-9), ultrason, MRCP, BT, ERCP, biyopsi |
| Tedavi Yöntemleri | Cerrahi rezeksiyon, karaciğer nakli, stent uygulaması, kemoterapi, radyoterapi |
| Komplikasyonlar | Safra yolu tıkanıklığı, enfeksiyon (kolanjit), karaciğer yetmezliği, metastaz |
| Prognoz | Erken tanı ve cerrahi ile sağkalım artar; genellikle geç tanı konur ve prognoz kötüdür |
Klatskin Tümörü Nedir?
Klatskin tümörü, safra yollarında özellikle karaciğerin çıkışında, sağ ve sol safra kanallarının birleşim noktasında gelişen kolanjiyokarsinom türüdür. Safra akışını engelleyerek sarılık, kaşıntı, karın ağrısı, iştahsızlık ve kilo kaybı gibi belirtilere yol açar. Tanısı genellikle MR, BT ve ERCP gibi görüntüleme yöntemleriyle konur. Tedavi; cerrahi, stent uygulamaları, kemoterapi ve radyoterapiyi içerebilir. Erken tanı zor olsa da tedavi şansı için erken başvuru önemlidir.
Klatskin Tümörü Nasıl Sınıflandırılır?
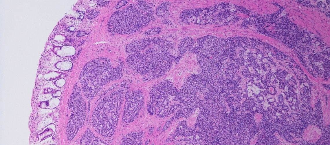
Klatskin tümörü, adını onu ilk kez ayrıntılı biçimde tanımlayan doktor Gerald Klatskin’den alır ve “hilar kolanjiyokarsinom” adıyla da anılır. Safra yollarının tam karaciğer hilusunda, yani sağ ve sol ana hepatik (karaciğer) kanalın birleştiği noktada gelişmesi nedeniyle diğer kolanjiyokarsinom türlerinden belirgin şekilde ayrılır. Safra yolu iç yüzeyini döşeyen epitel hücrelerinden kaynaklanan bu kötü huylu tümör genellikle adenokarsinom yapısına sahiptir. Yani mikroskop altında incelendiğinde, salgı bezi benzeri yapılanma gösteren kanser hücreleri tespit edilir.
Sınıflandırma Yaklaşımları
Bismuth-Corlette Sınıflandırması
- Klatskin tümörünü konumuna göre ayıran en yaygın sınıflandırmalardan biridir. Safra yollarındaki yayılımına göre dört ana tipe ayrılır:
- Tip I: Tümör, karaciğer kanalının birleşim yerine kadar uzanmaz, sadece ortak hepatik kanal kısmında yer alır.
- Tip II: Tümör, tam bifurkasyonda yani sağ-sol hepatik kanalın ayrım noktasında bulunur.
- Tip III (IIIa ve IIIb): Tümör, sağ veya sol hepatik kanalın içine doğru uzanır. IIIa sağ tarafa, IIIb sol tarafa uzanımı ifade eder.
- Tip IV: Her iki tarafta da ikincil (segmental) safra yollarına uzanan geniş bir yayılım veya multifokal (birden fazla odakta) tümör varlığı söz konusudur.
Diğer Sınıflandırma Sistemleri
- TNM (Tümör, Nod, Metastaz) Sınıflandırması: Uluslararası Kanser Sınıflandırması olarak bilinen TNM sistemi, tümörün boyutu (T), lenf nodu tutulum durumu (N) ve uzak metastaz varlığına (M) göre evrelendirme yapar.
- Oliveira ve Arkadaşlarının Önerdiği Modifiye Sistem: Bu yaklaşımda tümörün büyüklüğü, portal ven ve hepatik arter tutulumuna özel kodlamalar (örn. PV3R, HA4), lenf nodu tutumu gibi detaylı parametreler dikkate alınır.
- ICD-O ve WHO Sınıflandırmaları: Uluslararası kanser kayıt sistemleri (ICD-O), tümörün anatomik yerine göre (intrahepatik ya da ekstrahepatik) kodlama yapar. Klatskin tümörleri, karaciğer hilusuna yakın konumları nedeniyle uzun yıllar ekstrahepatik olarak değerlendirilegelmiş olsa da kayıtların bir kısmında intrahepatik kodlamanın kullanıldığı da görülmüştür. Dünya Sağlık Örgütü (WHO) sınıflandırması ise tümörlerin histolojik özelliklerine (epitelyal, intestinal, foveolar vb.) göre gruplama yapar.
Klatskin Tümörlerinin Yaygın Belirtileri Nelerdir?
Halk arasında “safra yolları tıkanması” veya “sarılık” belirtileri olarak bilinen durum Klatskin tümörünün en önemli ipuçlarından biridir. Bunun nedeni, karaciğerde üretilen safra sıvısının, bağırsaklara akması gereken yolun bu tümör nedeniyle tıkanmasıdır. Tıkanıklığın derecesi arttıkça safra ve bilirubin kana karışır. Vücudun farklı dokuları ve gözün beyaz kısmı (sklera) sarı rengini almaya başlar. Bu tabloya genellikle “obstrüktif sarılık” veya “kolestatik sarılık” denir.
- Sarılık (Jaundice)
Hemen her Klatskin tümörü vakasında görülür. Gözle görülür şekilde cildin ve göz akının sararması, kişinin günlük yaşam kalitesini de ciddi oranda etkiler. Sarılığa ek olarak idrar renginin koyulaşması (çay rengi veya turuncu) ve dışkı renginin açılması tipik bir üçlü semptom olarak tanımlanır.
- Kaşıntı (Pruritus)
Safra asitlerinin kana fazlaca karışması sonucu gelişir. Geceleri artış gösterebilen bu kaşıntı, hastaların yaşam kalitesini oldukça düşürebilir. Ciltte tahrişe, uykusuzluğa ve hatta depresyona kadar uzanan bir tabloya neden olabilmektedir.
- Kilo Kaybı ve İştahsızlık
Çoğu kanser türünde olduğu gibi Klatskin tümörlerinde de kontrolsüz kilo kaybı önemli bir uyarı işaretidir. İştahsızlık, mide bulantısı ve genel halsizlik gibi durumlar tümörün metabolik etkilerine işaret eder.
- Karın Ağrısı ve Rahatsızlık Hissi
Sağ üst kadran ağrısı veya genel karın ağrısı zamanla ortaya çıkabilir. Bazı hastalar karnın sağ üst tarafında veya sırtta yayılan künt bir ağrı tarifleyebilir. Ağrının şiddeti tümörün komşu dokulara ve sinirlere baskısına göre değişir.
- Genel Halsizlik, Yorgunluk
Kronik enfeksiyon, karaciğer fonksiyon bozukluğu veya tümörün salgıladığı maddeler nedeniyle ortaya çıkabilecek bitkinlik ve halsizlik durumu günlük aktiviteleri sekteye uğratabilir.
- Diğer Belirtiler
Geç safhalarda ateş, bulantı, kusma veya geceleri terleme (ateş basma, çarpıntı hissi gibi) görülebilir. Fakat bu belirtiler spesifik olmaktan ziyade ek komplikasyonlara veya enfeksiyonlara da işaret edebilir.
Klatskin Tümörlerinin Oluşum Nedenleri Nelerdir?
Her hastada kesin ve tek bir sebep göstermek kolay değildir; genetik, çevresel ve kronik enflamatuvar süreçlerin hepsi bir arada rol oynar. Klatskin tümörünün özellikle “kronik iltihabi durumlar” ve “uzun süreli hücresel hasarlar” sonrasında ortaya çıktığını söyleyebiliriz. Aşağıda en sık bahsedilen risk faktörleri yer almaktadır:
- Primer Sklerozan Kolanjit (PSC)
Safra yollarının kronik iltihabi hastalığı olan PSC, Klatskin tümörüne giden yolda başlıca risklerden biridir. Zamanla doku hasarı ve fibrozis, bu bölgedeki hücrelerin dengesini bozarak kansere zemin hazırlayabilir.
- Karaciğer Salyangozu (Liver Fluke) Enfeksiyonu
Özellikle Uzak Doğu ülkelerinde görülen Clonorchis sinensis ve Opisthorchis viverrini gibi parazitler, safra kanallarını kronik olarak tahriş edip iltihaplandırabilir. Bu inflamasyon birikimi, uzun vadede kanser oluşum riskini yükseltir.
- Viral Hepatitler (B ve C)
Karaciğer iltihabına ve siroza yol açan bu virüsler, sadece karaciğer parankimini değil safra yollarını da etkileyerek kanserleşmeyi tetikleyebilir. Uzun süren karaciğer hasarı ve yenilenme çabası hücresel mutasyonların birikmesine neden olur.
- Metabolik Hastalıklar
Diyabet ve obezite gibi kronik metabolik bozukluklar, genel olarak kanser riskini artıran inflamatuvar süreçlerle ilişkilidir. Safra asidi kompozisyonundaki değişiklikler ve insülin direnci gibi faktörler safra yolu hücrelerinin anormal çoğalmasına katkıda bulunabilir.
- Kimyasal Maddeler ve Çevresel Etkenler
Eski tarihlerde kontrast madde olarak kullanılan Thorotrast (thorium dioksit) veya kimya endüstrisinde çalışanların maruz kaldığı nitrozamin, asbest gibi zararlı maddeler, karaciğer ve safra yollarında kanser riskini artıracak DNA hasarına neden olur.
- Yaş ve Cinsiyet
Genellikle 50-70 yaş aralığında daha sık görülür. Erkeklerde bir miktar daha fazla rastlanması, hormonal ve yaşam tarzı farklılıklarıyla ilişkilendirilir.
- Genetik Faktörler
Her ne kadar büyük çoğunluk “sporadik” yani kendiliğinden meydana gelen vakalar olsa da bazı hastalarda KRAS, TP53 gibi tümör baskılayıcı genlerde veya onkogenlerde mutasyonlar tespit edilebilir. Bu mutasyonlar, safra yolu hücrelerinin bölünme düzenini bozarak kanserleşmeye yol açabilir.
Klatskin Tümörleri Nasıl Teşhis Edilir?
Klatskin tümörünün tanısı kimi zaman zorlayıcı olabilir çünkü belirtiler diğer safra yolu hastalıklarıyla karışabilir. Bu nedenle çeşitli tetkik ve yöntemlerin bir arada değerlendirilmesi şarttır. Tanı aşamaları genellikle şu şekilde özetlenebilir:
Klinik Değerlendirme
- Hastanın tıbbi öyküsü, risk faktörleri ve semptomları dinlenir. Sarılık, kaşıntı, karın ağrısı veya kilo kaybı gibi şikâyetler, hekimin ilk ipuçlarını oluşturur. Fizik muayenede, karaciğer büyüklüğü, safra kesesi dolgunluğu (Courvoisier belirtisi) veya ağrı bölgeleri değerlendirilir.
Kan Testleri ve Biyokimyasal İncelemeler
- Karaciğer Fonksiyon Testleri (LFT’ler): Bilirubin, ALP (alkalen fosfataz), GGT (gama-glutamil transferaz) gibi göstergeler yükselir. Bu tablo safra yollarında tıkanıklık (kolestaz) olduğunu düşündürür.
- Tümör Belirteçleri (CA 19-9 vb.): CA 19-9 seviyesi birçok vakada yükselebilir; ancak safra yolu tıkanıklığı varsa, kan değerleri yanıltıcı olabileceğinden tek başına tanıya yeterli değildir. Yine de takip sürecinde faydalı bir parametre olabilir.
Görüntüleme Yöntemleri
- Ultrasonografi (US): İlk başvuru sırasında hızlı ve non-invaziv bir yöntemdir. Safra yollarındaki genişleme ve kitle benzeri oluşumlar saptanabilir. Ancak karaciğer hilusundaki detayları net göstermek her zaman mümkün olmaz.
- Kontrastlı Bilgisayarlı Tomografi (BT): Tümörün boyutu, yerleşimi ve damarlarla olan ilişkisi değerlendirilebilir. Hangi damarların tutulmuş olduğu, cerrahi planlamada hayati önem taşır.
- Manyetik Rezonans Görüntüleme (MRI) ve MR Kolanjiyopankreatografi (MRCP): Safra yollarını detaylı gösteren MRCP, Klatskin tümörlerini haritalamada altın standart kabul edilir. Tümörün safra kanalına nasıl uzandığı, hangi dalları tıkadığı gibi bilgiler en ince ayrıntısına kadar görülür.
- Endoskopik Retrograd Kolanjiyopankreatografi (ERCP): Hem tanı hem de tedavi amaçlı kullanılabilir. Kameralı endoskop yardımıyla on iki parmak bağırsağına ulaşılarak safra kanalına bir kateter yerleştirilir ve buradan görüntü alınır. Darlık olan bölgeden biyopsi yapmak veya stent takarak tıkanıklığı gidermek de mümkündür.
Biyopsi ve Histopatolojik Tanı
- Nihai kesin tanı için tümörden alınan biyopsinin patolojik incelenmesi gerekir. ERCP sırasında fırçalama (brush) tekniği veya perkütan (deriden) iğne biyopsisiyle alınan örnek, mikroskopta incelenerek adenokarsinom varlığı doğrulanır. Yalnız, bazen örnek almak zor olabilir veya sonuç yetersiz gelebilir. Bu durumda ek testler veya yeniden biyopsi gerekir.
Diğer İleri Tetkikler
- PET-BT (Pozitron Emisyon Tomografisi): Özellikle uzak metastaz şüphesi varsa tercih edilebilir. Ancak rutin kullanımda standart değildir.
- Endoskopik Ultrason (EUS): Bazı merkezlerde lenf nodları ve doku invazyonunu daha yakından değerlendirerek ek bilgi sağlayabilir.
Klatskin Tümörlerinin Evreleri Nasıl Belirlenir?
Klatskin tümörlerinde evreleme, tümörün hangi safra kanallarına doğru uzandığını, lenf nodu tutulumunu, damar invazyonunu ve uzak metastaz olup olmadığını netleştirmeye dayanır. Evreleme hastanın tedavi seçeneğini belirlemek ve prognozu öngörmek açısından kritik önem taşır. Genellikle iki ana yöntem birbiriyle ilişkilendirilerek kullanılır:
TNM (Tümör, Nod, Metastaz) Sistemi
- T (Tümör): T1, kanserin sadece safra kanalının iç tabakasındadır. T2, çevre dokulara (bağ doku, karaciğer dokusunun bir kısmı) yayılım olduğunu gösterir. T3, büyük damarların tek taraflı tutulumu veyahut geniş lokal yayılım demektir. T4 ise daha ileri seviyede, genellikle her iki tarafta veya daha derin damar invazyonunu içerir.
- N (Lenf Nodları): N0, lenf noduna yayılma yoktur. N1, bölgesel lenf nodu tutulumu. N2 gibi ek kategoriler daha geniş lenf nodu yayılımını gösterir.
- M (Metastaz): M0, uzak organlarda (akciğer, kemik vb.) metastaz yoktur. M1, metastazın bulunduğu anlamına gelir.
Bismuth-Corlette Sınıflandırması
- Tümörün safra yollarındaki yerleşimine göre Tip I-II-III-IV şeklinde sınıflandırır. Özellikle cerrahi planlamada hangi karaciğer segmentlerinin etkilendiğini anlamak için önemlidir.
Evrelemenin Tedaviye Etkisi
- Erken Evre (T1-T2, N0, M0): Cerrahiyle tam rezeke edilebilme şansı yüksektir. Hastanın karaciğer rezervi uygun olduğunda, sağlıklı karaciğer dokusuyla birlikte tümörlü bölge temizlenebilir.
- Orta Evre (T3, N0 veya N1): Damar invazyonu veya lenf nodu tutulumuna rağmen cerrahi şans olabilir. Ancak ek kemoterapi, radyoterapi veya neoadjuvan tedaviler gerekebilir.
- İleri Evre (T4, N2, M1): Eğer metastaz varsa veya bilateral (her iki taraflı) büyük damar tutulumu varsa, cerrahi genellikle mümkün olmaz. Bu vakalarda palyatif yaklaşımlar veya bazı seçilmiş hastalar için karaciğer nakli protokolleri gündeme gelebilir.
Klatskin Tümörlerinin Cerrahi Tedavi Seçenekleri Nelerdir?
Klatskin tümörünün kesin tedavisi, “R0 rezeksiyon” olarak adlandırılan, tümörlü dokunun etrafında sağlam (tümörsüz) bir sınır bırakacak şekilde tamamen çıkarılmasıdır. Ancak bu tümörler karaciğerin ana damarlarına yakın bölgede olduğundan, cerrahi çoğu zaman teknik açıdan zordur. Cerrahlar, hem tümörün tam çıkartılmasını hem de hastada geride yeterli çalışır karaciğer dokusu kalmasını gözetmek durumundadır.
- Hepatektomi ve Bile Duct Rezeksiyonu
Sağ veya Sol Hepatektomi: Tümör sağ veya sol ana hepatik kanala doğru uzanıyorsa, ilgili lobu çıkarmak gerekebilir. Karaciğerin geri kalan kısmı hastanın yaşamını sürdürebilecek kadar fonksiyonel olmalıdır. Bu nedenle ameliyat öncesi karaciğer fonksiyonları ve remnant (geride kalan) karaciğer hacmi hesapları yapılır.
Caudate Lob Rezeksiyonu: Klatskin tümörleri sıklıkla “caudate lob” adı verilen karaciğerin arka bölümünü de tutabilir. Bu nedenle standart olarak caudate lobun da çıkarılması önerilir.
No-Touch Tekniği: Tümöre doğrudan teması en aza indirerek, doku yayılımını veya kanser hücrelerinin dolaşıma karışmasını önleme amacıyla uygulanan özel bir cerrahi yaklaşım.
- Perioperatif veya Neoadjuvan Tedaviler
Tümörün boyutu büyükse veya damar invazyonu belirginse, ameliyat öncesi radyoterapi veya kemoterapi bazen uygulanır. Amaç tümörü küçültüp rezeksiyonu kolaylaştırmaktır.
- Ameliyat Sonrası Dönemde Destek
Hastanın safra akışını yeniden düzenlemek, karaciğer fonksiyonunu izlemek ve olası komplikasyonları (safra kaçağı, enfeksiyon) yönetmek önemlidir. Ameliyat sonrasında da çoğu zaman ek kemoterapi veya radyoterapi protokolleri değerlendirilebilir.
- Teknik Zorluklar ve Karşılaşılan Engeller
Büyük damarların (portal ven veya hepatik arterin) rekonstrüksiyonu gerekebileceğinden, cerrahi süre uzayabilir ve kan kaybı riski artabilir.
Cerrahi öncesi veya sırasında karaciğer hacminin yetersiz olacağı düşünülürse, “portal ven embolizasyonu” gibi ek prosedürlerle, ameliyattan önce karaciğerin bir tarafını büyütmek mümkün olabilir. Böylece ameliyat sonrası kalan karaciğer dokusunun işlevi daha iyi korunur.
Karaciğer Nakli Klatskin Tümörlerini İyileştirebilir mi?
Karaciğer nakli, karaciğer yetmezliğinin yanı sıra seçili kanser vakalarında da alternatif bir tedavi yöntemi olarak gündeme gelir. Klatskin tümöründe “nakil” kavramı ise oldukça tartışmalıdır ve standart bir yaklaşım değildir. Ancak son yıllarda, özellikle belirli hasta gruplarında umut verici sonuçlar elde edildiğine dair yayınlar mevcuttur.
Seçilmiş Hasta Grupları
- Yüksek evre, çok geniş yayılım, bilateral damar tutulumu olan ancak uzamış yaşam beklentisi bulunan genç hastalar.
- Tümör çapı küçük (genellikle 3 cm’den küçük) ve lenf nodu veya uzak metastaz bulgusu olmayanlar.
- Ameliyatla temiz sınır elde etmenin neredeyse imkânsız olduğu Bismuth-Corlette Tip IV vakaları.
Neoadjuvan Tedavi ile Birleştirilmesi
- Karaciğer nakli öncesinde radyoterapi ve kemoterapi uygulanarak, tümörün mikroskopik yayılımı azaltılmaya çalışılır. Böylece nakil sonrası tekrarlama riski düşürülebilir. Nakil, teorik olarak “yeni ve sağlıklı” bir karaciğerin sağlanmasını amaçladığı için, eğer tüm tümör yükü ortadan kaldırılırsa hasta uzun dönemde daha iyi bir hayata kavuşabilir.
Başarı ve Zorluklar
- Organ Bulunabilirliği: Karaciğer nakline uygun organı zamanında bulmak zordur. Ayrıca kanserli hastalara organ dağıtımı etik ve tıbbi açılardan da tartışmalıdır.
- Nüks (Tekrarlama) Riski: Nakil olsa dahi, kanserin lenfatik veya kan yoluyla yayılması gibi nedenlerle rekürrens (nüks) oluşabilir.
- İmmünsupresyon: Nakil sonrası hastanın bağışıklık sistemi baskılandığı için, olası küçük kanser odaklarının daha hızlı büyüme riski olabilir.
Klatskin Tümörlerinde Palyatif Tedaviler Nelerdir?
Ne yazık ki Klatskin tümörü tanısı konan hastaların önemli bir kısmında hastalık ilerlemiş evrede tespit edilir ve cerrahi şans kalmayabilir. Bu durumda palyatif tedavilerin amacı, tümörü tamamen ortadan kaldırmaktan ziyade, hastanın yaşam kalitesini yükseltmek ve belirtileri hafifletmektir.
- Biliyer Drenaj ve Stent Uygulaması
Safra yollarının tıkanması nedeniyle ortaya çıkan sarılık ve kaşıntı, bu işlemlerin en sık endikasyonudur. Endoskopik (ERCP) veya perkütan (PTBD) yolla safra yoluna yerleştirilen stent, tıkanıklığı bypass ederek safranın bağırsaklara akışını tekrar sağlar. Metal stentler daha uzun süre açık kalma potansiyeline sahiptir, plastik stentler ise gerektiğinde kolaylıkla değiştirilebilir.
- Photodynamic Therapy (PDT)
Bazı merkezlerde uygulanabilen bu yöntem bir fotosensitizan madde verilerek, lazer yardımıyla tümör dokusunda hedefli yanık oluşturmayı sağlar. Amaç tümörün hacmini küçültüp safra yolunu biraz daha açık tutmaktır. Bu sayede stent tıkanıklığı da geciktirilebilir.
- Radyoterapi (Işın Tedavisi)
Eksternal radyoterapi veya brakiterapi (tümör bölgesine yerleştirilen radyasyon kaynakları) şeklinde uygulanabilir. Amaç tümör büyümesini yavaşlatmak ve ağrı gibi semptomları hafifletmektir.
- Kemoterapi
Klatskin tümörü için spesifik, standartlaşmış tek bir kemoterapi protokolü olmamakla birlikte “gemcitabin + sisplatin” gibi kolanjiyokarsinomlarda kullanılan rejimler denenebilir. Tam bir iyileşme sunmasa da bazı hastalarda tümörü küçültüp semptomları rahatlatabilir.
- Palyatif Cerrahi Bypass
Nadiren, endoskopik stentlerin yetersiz kaldığı, sık tekrar eden tıkanıklıkların olduğu vakalarda cerrahi olarak bypass sağlanabilir. Bu işlem, karaciğerdeki safra yollarının bağırsaklara yönlendirilmesi prensibine dayanır. Ancak yüksek riskli bir operasyondur ve hayat beklentisi kısa olan hastalarda çok düşünülmez.
Klatskin Tümörü Olan Hastaların Prognozu Nasıl Olur?
Klatskin tümörleri, tanı konulduğunda sıklıkla ileri evrede yakalanır. Bu durum tedavi şansını daralttığı için hastalığın seyri genellikle zorlayıcıdır. Ancak prognoz, yani hastalığın geleceği, birçok faktöre bağlıdır:
- Evre ve Rezektabilite
En belirleyici unsur, tümörün tamamen çıkarılıp çıkarılamayacağıdır. Erken evrede yakalanan ve R0 rezeksiyonla tümörün temizlendiği hastalarda 5 yıllık sağkalım oranları %20-40 arasındayken, ilerlemiş ve rezeke edilemeyen hastalarda bu süre 1 yıla kadar düşebilir.
- Lenf Nodu Tutulumu
Lenf nodlarına yayılım, tekrar (nüks) riskini artıran önemli bir faktördür. Bu nedenle evredeki küçük bir yükselme bile hastanın sağkalım oranını belirgin biçimde etkileyebilir.
- Cerrahi Deneyim ve Merkez Seçimi
Klatskin tümörlerinin cerrahi tedavisi oldukça özelleşmiş bir alandır. Bu konuda deneyimli merkezlerde ameliyat edilen hastalar, operasyon sonrası komplikasyon yönetimi ve ek tedaviler açısından daha avantajlı olabilir.
- Hastanın Yaşı ve Genel Sağlık Durumu
İleri yaş, ek yandaş hastalıkların (kalp-damar, böbrek yetmezliği vb.) varlığı, immün sistemin zayıf olması gibi durumlar ameliyat sonrası toparlanmayı güçleştirebilir. Bu da doğal olarak uzun vadeli sağkalım oranlarına yansır.
- Tümörün Biyolojik Özellikleri
Her tümör aynı davranmaz. Bazıları daha hızlı yayılma eğilimindeyken, bazılarında nispeten daha yavaş bir seyir gözlenebilir. Moleküler mutasyonlar (örneğin KRAS, IDH1, FGFR2) tümörün tedaviye cevabını değiştirebilir.
Klatskin Tümörlerinde Yeni Tedavi Yöntemleri Var mı?
Tıpta teknoloji ve araştırmalar ilerledikçe, Klatskin tümörleri de dahil olmak üzere pek çok kanser türü için yenilikçi yaklaşımlar geliştirilmektedir. Her ne kadar cerrahi halen tek küratif yöntem olarak kalsa da aşağıdaki yeni tedavi veya destekleyici yöntemlerin bazıları umut vadeder:
- Hedefe Yönelik Tedaviler (Targeted Therapy)
FGFR (Fibroblast Büyüme Faktörü Reseptörü) İnhibitörleri: Bazı kolanjiyokarsinomlarda FGFR2 füzyonları saptanmıştır. Bu füzyonlara sahip hastalarda, FGFR inhibitörü ilaçlar tümör büyümesini yavaşlatabilir.
IDH1 İnhibitörleri: IDH1 mutasyonu taşıyan tümörlerde, hücre metabolizmasını bozan ilaçlar denenmektedir.
- İmmünoterapi
Anti-PD-1, anti-PD-L1 veya CTLA-4 gibi immün kontrol noktası inhibitörleri, vücudun bağışıklık sistemini kanser hücrelerine karşı aktive etmeyi amaçlar. Klatskin tümörlerinde tek başına etkinliği henüz kesin olarak gösterilmemişse de kemoterapi ya da radyoterapiyle kombinasyon biçiminde klinik çalışmalar sürmektedir.
- Lokal Yıkım Yöntemleri
Radyofrekans Ablasyon (RFA) veya Mikrodalga Ablasyon: Tümörün bulunduğu bölgeye özel iğnelerle erişilerek ısı veya mikrodalga enerjisi uygulanır. Safra yoluyla ulaşımı zor olduğu için, genelde intrahepatik odaklar veya karaciğer içinde yayılım gösteren bölgelerde sınırlı bir seçenek sunar.
Irreversible Electroporation (IRE): Hücre zarı bütünlüğünü bozarak kanser hücrelerini öldürmeye yönelik bir teknoloji. Büyük damarlara yakınlığı nedeniyle, Klatskin tümörlerinde uygulama aşamalarını araştıran çalışmalar mevcuttur.
- Karaciğer Nakli Protokollerinde Gelişmeler
Nakil öncesi neoadjuvan tedavilerin (kemoradyoterapi, PDT, TACE – transarteryal kemoembolizasyon vb.) daha sistematik ve etkin hale getirilmesi hedeflenmektedir. Böylece seçilmiş hastalarda nakil sonrası nüks oranlarını azaltmak mümkün olabilir.
- Genom ve Moleküler Profil İncelemeleri
Yeni nesil dizileme (Next-Generation Sequencing) teknolojileriyle, Klatskin tümörlerinin moleküler haritalaması yapılmakta; böylece hangi tümörün hangi tedaviye daha duyarlı olabileceği belirlenmeye çalışılmaktadır.
Klatskin Tümörleri Diğer Safra Yolu Kanserlerinden Nasıl Farklanır?
“Safra yolu kanserleri” ortak bir başlık altında anılsa da tümörün bulunduğu konumun tedavi yaklaşımı ve prognozu üzerinde belirleyici etkisi vardır. Klatskin tümörleri (hilar kolanjiyokarsinom), tam karaciğer hilusunda yer alarak; intrahepatik (karaciğerin içinde) veya distal (pankreas başına yakın bölgedeki) safra yolu tümörlerinden farklı bir klinik özellik gösterir.
- Konum ve Cerrahi Zorluk
Klatskin tümörleri, karaciğerin damar ve safra yolu şebekesinin kesişim noktasında bulunur. Bu da cerrahi sırasında damar rekonstrüksiyonu zorunluluğu gibi durumları beraberinde getirebilir. Distal kolanjiyokarsinomlarda ise Whipple prosedürü (pankreatikoduodenektomi) daha sık kullanılır.
- Belirti Başlangıcı
Distal kolanjiyokarsinomlarda sarılık genellikle daha erken belirginleşir. İntrahepatik tümörlerde ise uzun süre semptom vermeden ilerleyen kitleler görülebilir. Klatskin tümörlerinde sarılık sık ve dramatik olsa da bazen biyokimyasal göstergeler dışında başlangıç evresinde belirti vermeyebilir.
- Moleküler Özellikler
Yapılan genetik çalışmalar intrahepatik, hilar ve distal kolanjiyokarsinomların farklı mutasyon profillerine sahip olabileceğini ortaya koymaktadır. Örneğin FGFR füzyonları intrahepatik tümörlerde daha sık görünürken, Klatskin tümörlerinde farklı genetik paternler gözlenebilir.
- Tedavi ve Prognoz Farkları
Erken tanınan distal tümörler, cerrahiyle daha başarılı sonuçlar verebilirken, Klatskin tümörü konumunun zorluğu nedeniyle daha düşük rezeksiyon oranına sahiptir. Ayrıca kliniğe başvuru anında ileri evre görülme sıklığı, Klatskin tümörlerinin prognozunu olumsuz etkiler.
Klatskin Tümörü Riskini Etkileyen Yaşam Tarzı Faktörleri Nelerdir?
Klatskin tümörünün doğrudan yaşam tarzıyla ilişkisini bire bir gösteren keskin bilimsel veriler sınırlı olsa da genel olarak biliyoruz ki kronik enflamasyon, karaciğer ve safra yollarını etkileyen zararlı alışkanlıklar, hastalığın oluşum zeminini güçlendirebilir.
- Sigara Kullanımı
Tütün dumanındaki pek çok kimyasal, karaciğer ve safra yollarında hücre hasarını tetikler. Sigara içenlerde kolanjiyokarsinom riskinin arttığı çeşitli araştırmalarda gösterilmiştir.
- Aşırı Alkol Tüketimi
Sürekli yüksek miktarda alkol, karaciğer hücrelerini yıpratarak siroz riskini artırır. Sirozun ilerlemesi safra yollarını da olumsuz etkileyebilir. Ayrıca alkol, vücudun detoksifikasyon sistemlerini de zorlayarak kanser gelişimine elverişli bir ortam yaratır.
- Obezite ve Metabolik Sendrom
Obezite, insülin direnci, Tip 2 diyabet ve yüksek trigliserid düzeyleri, karaciğer yağlanması (NAFLD) üzerinden kronik karaciğer hasarına sebep olabilir. Bu durum safra asitlerinin metabolizmasını da bozarak, uzun vadede safra yolu epitelini etkileyebilir.
- Düşük Lifli, Yüksek Yağlı Beslenme
Beslenme alışkanlıklarının direk Klatskin tümörüne etkisi tam olarak ispatlanmamış olsa da; genel olarak kanser riskini artıran aşırı yağlı, işlem görmüş gıda ağırlıklı diyetlerin dolaylı katkısı olabilir. Liften zengin beslenme, sindirim sistemi sağlığını korumada fayda sağlar.
- Yetersiz Fiziksel Aktivite
Hareket azlığı, obezite ve insülin direnci gibi dolaylı faktörlere davetiye çıkarır. Egzersiz, vücudun bağışıklık ve metabolik süreçlerini dengeleyerek kanser riskine karşı koruyucu bir etki sunabilir.
- Endemik Bölgelere Özgü Beslenme Alışkanlıkları
Uzak Doğu’da çiğ veya az pişmiş tatlı su balığı tüketimi, karaciğer kelebeklerine (liver fluke) maruz kalma riskini artırır. Bu parazitler de Klatskin tümörü oluşumunda önemli bir rol oynar.
Klatskin Tümörü Belirtileri Ne Zaman Tıbbi Yardım İstekine İşaret Eder?
Klatskin tümörünün sinsi doğası, belirtilerin sıklıkla geç dönemde ortaya çıkmasına neden olur. Bu yüzden bazı semptomları erkenden tanıyıp hekim değerlendirmesine gitmek, olası bir erken teşhis için kritik önemdedir.
- Uzayan Sarılık
Birkaç gün veya hafta süren “painless jaundice” (ağrısız sarılık), özellikle koyu renkli idrar ve açık renkli dışkıyla birlikte görülüyorsa mutlaka önemsenmelidir. Safra kanalındaki tıkanıklığın tipik habercisidir.
- Yoğun Kaşıntı
Birçok durumda sadece cilt hastalıklarıyla ilişkilendirilen kaşıntı, eğer geceleri artıyor ve görünüyor ki sarılıkla beraber seyrediyorsa, mutlaka karaciğer ve safra yolları açısından incelenmelidir.
- Beklenmeyen Kilo Kaybı
Diyet veya egzersiz kaynaklı olmayan, isteksiz şekilde ortaya çıkan kilo kaybı, kanserin en önemli “alarm semptomlarından” biridir.
- Karın veya Sırt Ağrısı
Sağ üst kadranda veya sırta vuran bir ağrı, özellikle sindirimle ilgili sorunlar da eşlik ediyorsa, safra yolları ve karaciğer patolojilerini akla getirir.
- Yorgunluk, Halsizlik ve İştahsızlık
Pek çok rahatsızlığın ortak belirtisi olsa da sarılık veya karaciğer enzim yükseklikleriyle beraber görüldüğünde, mutlaka araştırılmalıdır.
- Risk Faktörleri Varlığı
Eğer bir kişi primer sklerozan kolanjit, kronik viral hepatit, karaciğer fluke enfeksiyonu veya kolanjiyokarsinom aile öyküsüne sahipse, en ufak safra yolu problemi belirtisi bile ciddiye alınmalıdır.
Sıkça Sorulan Sorular
Klatskin tümörü hangi bölgedeki safra yollarında gelişir?
Klatskin tümörü, karaciğerin hemen çıkışındaki safra yollarının birleşim noktasında oluşur. Bu kritik bölge nedeniyle tümör, safra akışını engeller ve erken evrede dahi ciddi belirtiler verir.
Klatskin tümörünün en sık görülen ilk belirtisi nedir?
En yaygın ilk belirti, safra yolları tıkandığında gelişen sarılıktır. Gözlerde ve ciltte sararma, idrar renginde koyulaşma ve kaşıntı genellikle hastalığın başlangıcında ortaya çıkar.
Klatskin tümörünün gelişiminde hangi risk faktörleri rol oynar?
Uzun süreli safra yolu iltihapları, safra taşı varlığı, primer sklerozan kolanjit ve bazı genetik faktörler Klatskin tümörü riskini artırır. Ayrıca ileri yaş da önemli bir risk unsurudur.
Klatskin tümörü karaciğer fonksiyonlarını nasıl etkiler?
Tümör safra akışını engellediğinde karaciğerde toksin birikir, fonksiyonlar bozulur ve sarılık gelişir. Uzun vadede karaciğer hasarı ilerleyebilir ve karaciğer yetmezliği riski artabilir.
Klatskin tümörü için hangi görüntüleme yöntemleri kullanılır?
Manyetik rezonans kolanjiyografi (MRCP), bilgisayarlı tomografi ve endoskopik retrograd kolanjiyopankreatografi (ERCP) sık kullanılan yöntemlerdir. Bu teknikler tümörün yerini ve yayılımını göstermede etkilidir.
Klatskin tümörü ameliyatla tamamen çıkarılabilir mi?
Cerrahi, uygun hastalarda en etkili tedavi yöntemidir. Ancak tümörün konumu ve yayılımı nedeniyle tam çıkarma her zaman mümkün olmayabilir. Uygun vakalarda karaciğerin bir kısmı da alınabilir.
Klatskin tümöründe cerrahi sonrası iyileşme süreci nasıldır?
Ameliyat sonrası iyileşme süreci uzun olabilir. Karaciğer fonksiyonlarının toparlanması, enfeksiyon riskinin azaltılması ve beslenme desteği büyük önem taşır. Düzenli kontrol takipleri iyileşmeyi hızlandırır.
Klatskin tümöründe cerrahiye uygun olmayan hastalar için hangi tedaviler uygulanır?
Cerrahiye uygun olmayanlarda stent yerleştirilerek safra akışı sağlanabilir. Ayrıca kemoterapi, radyoterapi veya hedefe yönelik tedaviler hastalığın kontrol altına alınmasında kullanılır.
Klatskin tümörü yaşam süresini nasıl etkiler?
Hastalığın evresi, tümörün çıkarılabilirliği ve hastanın genel sağlık durumu yaşam süresini belirler. Erken evrede cerrahiyle şifa mümkünken, ileri evrelerde tedavi daha çok yaşam kalitesini artırmaya yöneliktir.
Klatskin tümörü olan hastalar için beslenme nasıl düzenlenmelidir?
Karaciğeri yormayan, yağ oranı düşük ve dengeli bir beslenme önerilir. Protein ihtiyacı karşılanmalı, alkol kesinlikle bırakılmalıdır. Diyetisyen ve hekim eşliğinde kişiye özel bir plan yapılması en doğrusudur.

Doç. Dr. İsmail Sert, Ege Üniversitesi Tıp Fakültesi mezunudur ve Tepecik Eğitim ve Araştırma Hastanesi’nde Genel Cerrahi uzmanlık eğitimini tamamlamıştır. Eğitim sürecinde İsviçre Cenevre Üniversitesi Hastanesi ve Malatya Karaciğer Nakli Enstitüsü’nde pankreas, karaciğer ve böbrek nakli üzerine ileri düzey cerrahi eğitimler almıştır. Türkiye’de karaciğer nakli ve pankreas cerrahisinin gelişimine katkı sağlayan öncü isimler arasında yer almaktadır.
Uzmanlık alanları arasında pankreas cerrahisi, Whipple ameliyatı, karaciğer ve safra yolları cerrahisi, minimal invaziv laparoskopik ve robotik cerrahi teknikleri yer almaktadır. Onkolojik cerrahi prensipleriyle pankreas ve karaciğer tümörlerinin tedavisinde yüksek başarı oranlarına sahiptir. 2018’de Tepecik Eğitim ve Araştırma Hastanesi’nde Karaciğer Nakli Programı’nı kurarak ülkemizdeki transplant cerrahisine önemli katkılarda bulunmuştur.
Uluslararası indeksli dergilerde 40’tan fazla yayını bulunan Doç. Dr. Sert, World Journal of Transplantation dergisinde editörlük yapmaktadır. Üyesi olduğu ESOT, ESSO, IASGO, IPITA gibi prestijli kuruluşlarla akademik çalışmalarını sürdürmekte, günümüzde İzmir’deki özel kliniğinde hastalarına modern, güvenli ve kanıta dayalı cerrahi çözümler sunmaktadır.
