Safra Kesesi Kanseri Nedenler, Belirtileri ve Ameliyatı

Safra kesesi kanseri, safra kesesi duvarındaki hücrelerin kontrolsüz çoğalmasıyla gelişen nadir fakat agresif seyirli bir kanser türüdür. Çoğunlukla ileri evrede belirti verdiği için erken tanı zordur. Tanı konulduğunda genellikle çevre dokulara veya karaciğere yayılım göstermiş olur.

Safra kesesi kanserinin belirtileri …

Hemoroidler ve Kolon Kanseri Arasındaki Fark

Hemoroidler ve kolon kanseri, benzer belirtiler gösterebilse de farklı hastalıklardır. Hemoroid, anal bölgedeki damarların şişmesi; kolon kanseri ise kalın bağırsakta kötü huylu tümör oluşumudur.

Hemoroidlerde genellikle ağrı, kaşıntı ve dışkılama sırasında kanama görülür. Kanamalar taze ve parlak kırmızı renktedir.

Kolon

Kolon Kanserine Bağlı Kalın Bağırsak Tıkanıklığı

Kolon kanserine bağlı kalın bağırsak tıkanıklığı, tümörün bağırsak lümenini daraltması sonucu gelişir. Bu durum, karın ağrısı, şişlik, kabızlık ve kusma gibi belirtilere yol açar ve acil müdahale gerektirir.

Tanıda kolonoskopi, BT ve MR görüntüleme yöntemleri kullanılır. Tıkanıklığın yeri ve derecesi

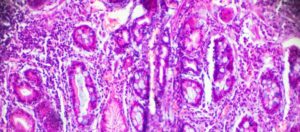
Kolon (Bağırsak) Kanseri Nedir? Belirtileri, Nedenleri ve Tedavisi

Kolon kanseri, kalın bağırsak mukozasındaki hücrelerin kontrolsüz çoğalmasıyla oluşan ciddi bir hastalıktır. Genellikle poliplerden gelişir ve erken evrede belirti vermeyebilir. Düzenli kolonoskopi kontrolleri, hastalığın erken tanısında en etkili yöntem olarak kabul edilmektedir.

Kolon kanseri belirtileri arasında dışkılama alışkanlıklarında değişiklik, dışkıda …

Kolon Kanserinde Tarama ve Testler

Kolon kanserinde tarama, hastalığın erken evrede tespit edilmesini ve tedavi başarısının artmasını sağlar. 50 yaş üstü bireylerde düzenli tarama önerilir.

Tarama yöntemleri arasında kolonoskopi, dışkıda gizli kan testi ve sigmoidoskopi bulunur. Bu testler, poliplerin ve erken dönem tümörlerin saptanmasına yardımcı

4. Evre kolon kanseri yaşam beklentisi ve sağ kalma oranları

Kolon kanseri 4. evrede, tümör uzak organlara metastaz yapmıştır. Belirtiler genellikle yaygın karın ağrısı, kilo kaybı, iştahsızlık ve halsizlik şeklinde görülür.

İleri evrede bağırsak tıkanıklığı, kansızlık ve sarılık gibi ek semptomlar da gelişebilir. Bu durum hastalığın yayılım alanına göre farklılık

Ekzokrin Pankreas Yetmezliği (EPI)

Ekzokrin pankreas yetmezliği (EPI), pankreasın sindirim enzimlerini yeterli miktarda üretememesi sonucu besinlerin emiliminin bozulduğu bir durumdur. Yağ, protein ve karbonhidrat sindirimi etkilenir, bu da kilo kaybı, ishal ve beslenme yetersizliklerine yol açabilir.

Ekzokrin pankreas yetmezliği nedenleri arasında kronik pankreatit, pankreas

Pankreas Fistülü Nedir? Tedavisi Nasıldır?

Pankreas fistülü, pankreas kanal sistemi ile başka bir içi boş organ veya vücut boşluğu arasında anormal bağlantı oluşmasıdır. Genellikle cerrahi girişimler, travma veya pankreatit sonrası ortaya çıkar. Pankreas sıvısının kontrolsüz akışı ciddi komplikasyonlara yol açabilir.

Pankreas fistülünün en sık nedeni …

Peritonit (Karın İçi Enfeksiyonu) Nedir? Peritonit Belirtileri ve Tedavisi

Karın boşluğumuzda, iç organlarımızın etrafını örten ve koruyan incecik bir zar tabakası vardır. Bu zar, tıpkı bir evin duvar kağıdı gibi düşünülebilir: Nasıl ki duvar kağıdı duvarları örter, periton adı verilen bu zar da karnımızın iç duvarlarını ve iç organları …

Rektum Kanseri Nedir? Belirtileri, Nedenleri ve Tedavisi

Rektum kanseri, kalın bağırsağın son kısmında gelişen kötü huylu tümörlerdir. Erken teşhis edildiğinde tedavi başarısı yüksektir. Belirtiler arasında kanama, dışkılama alışkanlığında değişiklik ve kilo kaybı bulunur.

Hastalık genellikle kolonoskopi ve biyopsi ile teşhis edilir. Görüntüleme yöntemleri tümörün evresini belirlemede kullanılır.

Kras Geni Nedir? Bu Genin Kanserle Nasıl Bir İlişkisi Var?

KRAS geni, hücre büyümesi ve bölünmesinde rol oynayan bir proto-onkogendir. Mutasyon geçirdiğinde hücrelerin kontrolsüz çoğalmasına neden olabilir ve özellikle kolon, akciğer ve pankreas kanserlerinde sıkça görülür.

Bu genin mutasyonları, kanser tedavisinde kullanılan hedefe yönelik ilaçlara direnç gelişmesine yol açabilir. Dolayısıyla

Adenokarsinom Nedir? Nasıl Tedavi Edilir?

Adenokarsinom, salgı üreten bez hücrelerinden kaynaklanan malign tümör türüdür. Vücudun birçok organında gelişebilir ve genellikle erken dönemde belirti vermeyebilir. Tanı süreci histopatolojik inceleme ile kesinleştirilir ve tedavi planı tümörün evresine göre belirlenir.

Adenokarsinom türleri arasında en yaygın görülenler akciğer, kolon,

Safra Yolu Kanseri Nedir? Belirtileri, Tanı ve Tedavi Yöntemleri

Safra yolu kanseri, safra kanallarında gelişen nadir ancak ciddi bir malign tümördür. Tümör, safra akışını engelleyerek sarılık, karın ağrısı ve kilo kaybına yol açabilir. Erken teşhis, tedavi şansını artırır ancak hastalık genellikle geç evrede belirti verir.

Risk faktörleri arasında kronik

Karaciğer Enzimleri Neden Yükselir? Belirtileri Nelerdir?

Karaciğer enzimlerinin yükselmesi, organ hücrelerinin hasar gördüğünün biyokimyasal göstergesidir. ALT, AST, GGT ve ALP düzeylerinin artışı, altta yatan karaciğer veya safra yolu hastalıklarını düşündürür ve ileri tetkik gerektirir.

Viral hepatitler, toksik maddeler, alkol ve obeziteye bağlı yağlanma, enzim yüksekliğinin sık

Kupffer Hücreleri Nedir, Ne İşe Yarar?

Kupffer hücreleri, karaciğerde yer alan ve bağışıklık sisteminde önemli rol oynayan özel makrofajlardır. Karaciğer sinüzoidlerinde bulunur ve kanda dolaşan mikroorganizmalar ile toksinleri temizler, böylece vücudu enfeksiyonlardan korur.

Karaciğerin detoksifikasyon sürecinde aktif görev alan bu hücreler, yabancı partikülleri fagosite ederek sindirir.

AST Testi Nedir? Yüksekliği ve Düşüklüğü Ne Anlama Gelir?

Aspartat aminotransferaz (AST), başta karaciğer, kalp ve kas dokusunda bulunan, amino asit metabolizmasında rol alan bir enzimdir. Kan testlerinde AST düzeyinin yükselmesi, genellikle bu organlarda hasar veya hücre yıkımı olduğunu gösterir ve tanısal süreçte önemlidir.

AST yüksekliği nedenleri arasında hepatit,

Onkogen Nedir?

Onkogen, normal hücrelerin büyüme ve bölünmesini düzenleyen proto-onkogenlerin mutasyona uğramış veya aşırı aktif hale gelmiş formudur. Bu genler kontrolsüz hücre çoğalmasına yol açarak kanser gelişiminde kritik rol oynar. Malignite oluşumunun en önemli genetik mekanizmaları arasında yer alır.

Onkogenler farklı mekanizmalarla …

Kolon (Bağırsak) Kanseri Nedir? Belirtileri, Nedenleri ve Tedavisi

Kolon-bağırsak kanseri, kalın bağırsakta gelişen kötü huylu tümörleri ifade eder. Genellikle poliplerden kaynaklanır ve ilerleyici bir seyir gösterir.

Risk faktörleri arasında genetik yatkınlık, ileri yaş, düşük lifli beslenme ve hareketsiz yaşam bulunur. Sigara ve alkol kullanımı da riski artırır.

Erken